渕崎歯科医院

歯のクリーニング・予防歯科

歯のクリーニング・
予防歯科

治療のゴールはメインテナンスのスタートです!
健康になったあなたのお口を再び悪くしないよう、これからも長く良い状態を保っていただくため予防・メインテナンスは、大変重要です。当医院では、治療が終了された方のお口の健康をサポートしています。「また痛くなったら・・・」「また何かあったら・・・」では、健康な歯を失うばかりです。

定期健診

自覚症状がなく進行していく歯周病を悪化させないために、そして子供さんの健康なお口を保ち健全な永久歯を育てるために定期的な管理は欠かせないものです。

歯周病の進行している方や、虫歯の危険性の高い方は、1~3ヶ月に1度の歯科衛生士による専門的なお口の清掃・相談・アドバイスをさせていただきます。

当医院では、定期健診の予約を取らせていただき、時期が近づきましたら電話にて予約の確認を取らせていただきます。治療が終わった後は、お口の中の健康な状態を持続させるために定期健診は重要です。

患者様ご自身でも注意していただき、定期健診を怠ることのないようにするのが理想です。

定期健診でやること

  1. STEP01

    虫歯のチェック

    むし歯は、歯の咬む面やつけ根だけでなく、歯と歯の間などの直接見えないところにもできやすいものです。また、一度つめて治療してあっても、そのわきの方に新たなむし歯ができることもあります。専門的な立場からむし歯をチェックします。

  2. STEP02

    歯ぐきのチェック

    歯のまわりのポケット(歯周ポケット)が深いと、歯周病になります。あなたの歯周ポケットの深さはどのくらいか、チェックします。

  3. STEP03

    ブラッシング指導

    歯と歯ぐきの正しいみがき方は、その人の歯並びや歯みがきの癖などのため、一人ひとり違うものです。あなたに合った、歯ブラシ・フロス・歯間ブラシなどの正しい使い方を指導します。

  4. STEP04

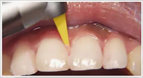
    歯垢の染め出しチェック

    (汚れの少ない方はしない場合もあります)
    歯垢(プラーク)は、むし歯や歯周病の原因ですが、これをきれいに取り去ることはとても難しいことです。どこにプラークがつきやすいかをチェックするために、歯垢の染め出しをしてチェックします。

  5. STEP05

    歯垢を取る

    歯ブラシで取り残したり、取りきれなかった歯垢は、むし歯や歯周病の大きな原因となります。

  6. STEP06

    歯石をとる

    歯石は誰にでもつき、歯肉を圧迫するなどして、歯周病を引き起こす原因の一つとなります。

  7. STEP07

    歯科相談

    むし歯や歯周病についての悩み事以外でも、相談にのります。顎の痛み(顎関節症)、咬むこと(摂食)、飲み込むこと(嚥下)についての指導や治療、高齢者の口腔の介護(口腔ケア)についても気軽に相談して下さい。

予防歯科

院内の画像

予防歯科とは患者様とのカウンセリングにより健康な歯を維持させる医療です。未だ虫歯や歯周病などになっていない歯の健康維持・管理が中心となりますので患者様との信頼関係が最も大切であると考えています。

「嫌な治療はコリゴリ、治療のためではなく、一生自分の歯でおいしく食事をする」のを目標に、口腔内の健康管理・維持のお手伝いをさせていただきます。

患者様とのコミュニケーションをより深めるために、当院では、カウンセリングルームで、専門スタッフによるカウンセリングも実施しております。

ご自分の歯を健康に保つことによって、あなたの人生がより素晴らしくなるお手伝いをしていきたいと心から私達は思っています。

PMTC

PMTCとはプロの手によって歯をクリーニングすることです。日頃、歯を磨いていてもどうしても歯の表面には、粘着性の細菌バイオフィルムが付着しています。

PMTCは、歯科衛生士による特殊な専用の器具を使い、歯の表面の歯石、バイオフィルムを除去する方法です。ツルツルに磨かれた歯面は、プラークが付着しにくくなります。また、PMTCを定期的に行うことにより、歯をむし歯・歯周病から守り、健康な口元を維持できます。

タバコを吸う方、お茶やコーヒーをよく飲む方、PMTCを行うだけで歯が白くなります。また歯ぐきの腫れ、痛みを抑え、歯の寿命を延ばすことが期待できます。

歯ブラシだけでは落とせない汚れ!?

「毎日の歯みがき、きちんとやっているから・・・」とおっしゃる方がいらっしゃいます。
しかし、残念ながら歯ブラシでは落とせない汚れがあるのです。「歯石」と「バイオフィルム」です。

歯石とは…

プラーク(歯垢)が固まって(石灰化して)できたもので、一度付着すると歯ブラシで取り除くことは不可能です。歯石は細菌の溜まり場となり、歯槽骨を溶かしてしまう原因となります。ですから、定期的にきちんと取り除く必要があるのです。

バイオフィルムとは…

台所のヌメヌメのようなもので、細菌同士が固まって保護膜を作り歯面にはり付くので、歯ブラシでは取りづらくなります。さらに、歯と歯ぐきの境目(歯周ポケット)のバイオフィルムは歯ブラシで取り除くことは困難となり、これを放置すれば虫歯と歯周病の原因となります。
ですから、これも定期的に専門の機械を用いて歯科医院で取り除くことが重要になるのです。

バイオフィルムは細菌のかたまりです。歯の表面に取り付いた、虫歯菌や歯周病菌は、歯の表面で増殖しバイオフィルムを形成します。バイオフィルムは、歯の表面に強固に付着します。剥がしとる最も効果的な手段として考えられるのが、PMTC(Professional Mechanical Tooth Cleaning)です。

ブラッシング等で物理的に取り除くしか方法がありません。放置しておくと歯の表面だけではなく、歯肉の縁より広がり歯肉、歯骨にまで影響します。

「一生自分の歯で食べる」ためだけではなく、「体の健康を守るために・・・」「長生きするために・・・」「いつまでも若々しくいるために・・・」

そのためにも、虫歯菌・歯周病菌のコントロールが必要なのです。
※歯周病治療の詳細は、「歯周内科」をご覧下さい。

PMTCの手順

磨ききれない汚れを確認している画像

1.磨ききれない汚れを確認します。

プラークには丁寧なブラッシングでも落とせないものがあります。その場所を確認します。

歯の表面にクリーニングする画像

2. 歯の表面にクリーニング

ペーストを塗り専用ブラシで汚れをこすり落とします。

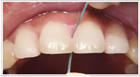
歯と歯の間の汚れを落とす画像 歯と歯の間の汚れを落とす画像

3.プラスチックチップ、デンタルフロスを使って歯と歯の間の汚れを落とします。

艶だしを行っている画像

4.研磨ペーストを塗り柔らかいラバーカップで表面の艶だしを行います。

フッ素を塗る画像

5.歯の質を強くし輝きを増すため、きれいになった歯面にフッ素を塗って終了です。

「メインテナンス」は不可欠です!

「80歳になったとき20本の歯が残っているようにしよう!」という運動を「8020運動」といいます。これは単に20本の歯が残ればいい、というわけではなく、健康な歯を20本残そうというものです。それは物をおいしく食べ、人間として楽しく過ごすには、「20本」の歯が必要といわれているからです。しかし日本の現状は、8007、つまり80歳の方で、残っている歯の本数は、平均して「7本」だといわれています。これは日本のメインテナンス率の低さから来る研究もあります。上記グラフでは、定期健診を受けた方では、約15.7本残っているのに対し、治療だけの方では、6.8本しか残っていないという事実を示しています。
事実メインテナンス率がほぼ100%の予防歯科先進国である北欧の国々では、8020運動はすでに達成されているのです。

※日本歯科医師会HP「テーマパーク8020」