インプラント
インプラント治療について
インプラントとは、歯肉の内側にある顎の骨にチタン製の人工歯根を埋め込み、その上に人工の歯を取り付ける治療方法です。現在国内外で主流のインプラント治療は、「オッセオ・インテグレイテッド・インプラント」といい、チタンで作られた人工歯根が使われています。チタンは生体との親和性が極めて高く、アレルギー反応を起こしません。オッセオ・インテグレーションとは、osseo(骨との)、integration(結合)という意味で、骨に埋め込んだチタンが3~6ヶ月で直接結合する性質を生かした治療方法です。
インプラント治療のメリット
長期的に機能性、審美性を回復し患者さまのQOLを向上させることができます。※QOL=クオリティオブライフ
- 食べ物の制限、不快感など様々な不満や問題を解決できる。
- 入れ歯がしっかりと固定されるので、「すべり」や「ずれ」がないので、ご自分の歯とほとんど変わらない噛み心地になる。
- 噛む機能が回復し、レストランや旅先で人目を気にせず食事が楽しめる。
- 天然歯と区別がつかないほど自然な仕上がり。
- お手入れが簡単。
インプラント治療の流れ
STEP1:カウンセリングと検査

まず患者さんには問診表をご記入いただき、検査とカウンセリングを行います。このときに、患者さんが歯を失った状況や、インプラントでどのような回復を求めているかを十分聞きます。その後、治療についての説明や流れをわかりやすく説明し、治療に対する理解を深めていただきます。検査については、全体の噛み合わせをみるため、歯形をとり、模型を制作。その上で噛み合わせのチェックを行い、診断用のレントゲンを撮影します。また、もっと詳しい状態を把握するため、後日CTをお撮りいただく場合があります。
STEP2:診断に基づいた治療計画の説明

初診での検査資料を元に診断し、より詳しい治療計画をご説明いたします。また、最終的な被せ物を作った模型(WaxUp)を用い、治療計画のご説明をいたします。
患者さんに十分な説明と理解が行われてから治療を開始するので、ご安心ください。
STEP3:むし歯や歯周病の治療

むし歯や歯周病があるとインプラント治療に影響を及ぼします。万が一、ほかの歯にむし歯や歯周病がある場合は、まずこちらの治療を行います。また、骨量が不足している方には骨の再生治療を行います。
STEP4:インプラント埋入手術

人工の歯根を顎の骨に埋め込みます。手術法は一回法と二回法の二種類があり、どちらを選択するかは、お口の中の状態によって判断します。一般的には、二回法が主流です。
STEP5:治療期間
挿入したインプラントと骨が結合するまで安静期間を置きます。状態や部位によって異なりますが、三ヶ月から六ヶ月が目安です。この期間中は仮歯を入れることができるので、日常生活には支障がありません。
また、レジンという樹脂で仮歯を作り、インプラントを埋入した日に噛むことも可能になりました。ですが、部位や本数などによっては、できる場合とできない場合がございます。
STEP6:上部構造の設置
二回法の場合は、簡単な外科手術で歯肉を切開し、アッバメントと連結し、お口の中に土台を作ります。
一回法の場合は、骨と結合が確認され次第、上部構造の制作を開始します。
STEP7:上部構造のチェック
上部構造が出来上がったら、かみ合わせのチェックなどを行います。
STEP8:定期検診
三ヶ月に一回のペースでメンテナンスを行い、お口全体の健康状態を維持します。インプラントの部分だけではなく、他の歯についても専門的な予防処置と検査を行います。
他の治療方法との違い
当院がインプラント治療をお勧めする最大の理由は、ご自分の歯と変わらない「自然な使用感」が得られることです。「食べる・咬む」「笑う」「話す」といった、毎日の大切なシーンを快適に不安なくお過ごしいただけるための治療、 それがインプラントです。もう、これまでのように「がまん」は必要ありません。
※スクロールしてご確認いただけます。
ブローネマルクシステム

当院では40年以上の研究開発、世界70ヵ国で採用され、数多くの実績から長期的な安定性、信頼性を確立した世界最高水準のブローネマルクシステムを導入しております。
「ブローネマルクシステム」は1960年代にスウェーデン・イエテボリ大学のブローネマルク教授によって開発されたインプラントシステムです。世界で初めてチタンと骨が結合することを発見したのがブローネマルク教授で、インプラントの原型となるものです。世界で最もデータが豊富なシステムで、1965年に最初の患者さんを治療し、2006年に亡くなるまでの40年以上の間、インプラントは完璧に機能し、後遺症もなかったと報告されています。
インプラント症例
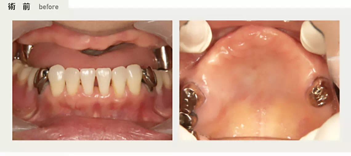
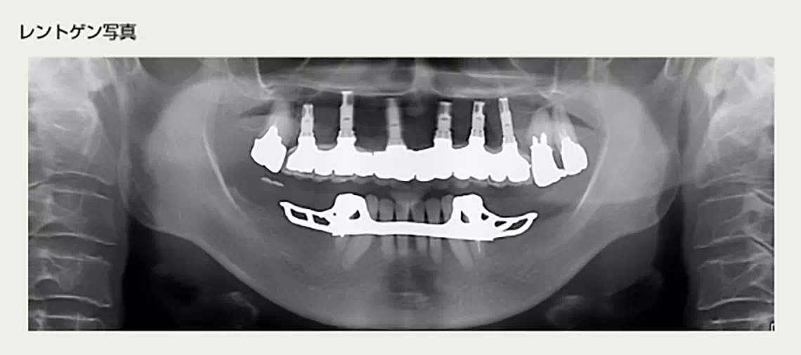
ほとんど歯の無い方 50代 女性
30代より徐々に歯がなくなり入れ歯にしていましたが、発音によっては入れ歯がはずれてしまい困っていました。インプラントで外れない綺麗な歯が欲しいという要望で、上顎にインプラント治療を行うことになりました。



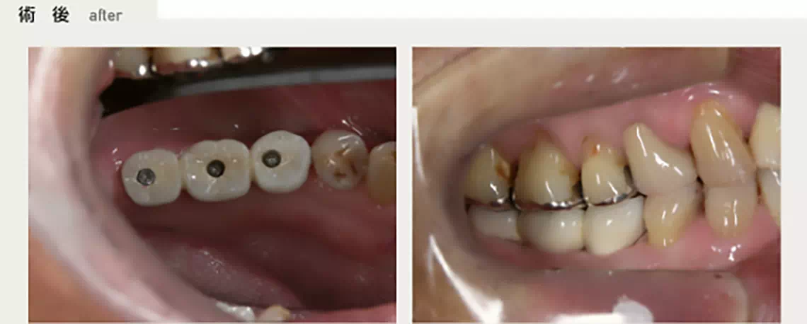
部分的に歯が無い方 60代 男性
右下に着脱式の入れ歯を入れていましたが、異物感が強く美味しく食事が出来ないとのことで3本のインプラント治療を作ることになりました。



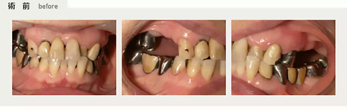
上の両側に部分的に歯が無い方 50代 女性
上の両側に部分的に欠損があり、着脱式の入れ歯を入れていましたが、上顎に右から左へ渡るバーがあり、発音しづらく、お困りでした。入れ歯の煩わしさから解放されたいとのことでインプラント治療を行いました。







