ホワイトニング
自宅で手軽に白い歯を手に入れませんか?

「歯の黄ばみが気になって、人前で笑うことができない」「写真を撮るときに歯を見せるのが恥ずかしい」そんな悩みを抱えている方は意外と多いのです。ホームホワイトニングは、そのような歯の色でお悩みの方に最適な治療法です。ご自宅で手軽に行える安全な治療で、理想的な白い歯を手に入れることができます。
ホームホワイトニングとは?
歯の色でお悩みの方へ
ホワイトニングとは、長い間取りきれなかった汚れが歯の色そのものを変色させてしまい、クリーニングをしてもくすんだ状態の方や、歯の黄ばみが気になって口をあけることがコンプレックスになってしまっている方、先天的に歯の色が黄色っぽい、茶色っぽいなどの悩みを抱え、ご自身の元々の歯の色よりも白くしたいという方にはお勧めの治療です。
痛みのない快適な治療
痛みや不快感はなく、リラックスした状態で治療していただけます。施術を受けられる度に白くなる歯にきっとご満足いただけるでしょう。当クリニックでのホームホワイトニングは、あなたの歯型から専用のマウスピースを作製し、ご自宅にて専用の溶液を用いて行っていただきます。この方法ですと、夜寝ている時間を利用して、マウスピースをお口に装着し、約2週間続けることで自然な白い歯になります。
ホームホワイトニングの特徴

自分のペースで治療可能
ホームホワイトニングの最大の特徴は、ご自分のペースで治療を進められることです。お仕事やプライベートの都合に合わせて、都合の良い時間に行うことができます。また、夜寝ている間に装着するだけなので、日常生活に支障をきたすことがありません。
自然で美しい仕上がり
ホームホワイトニングは、時間をかけてゆっくりと歯を白くしていく方法のため、自然で美しい仕上がりになります。急激に白くなることがないため、周囲の人に気づかれることなく、自然な白さを手に入れることができます。
施術の流れ
-
STEP01
詳しい説明と同意
インフォームドコンセントを受け、歯科医師・スタッフより使用方法や注意事項について詳しい説明を聞きます。治療の内容や期間、費用について十分にご理解いただいた上で治療を開始します。
-
STEP02
口腔内検査
口腔内全体の検査と適応症かどうかの検査を受けます。むし歯や歯周病がある場合は、先にそれらの治療を行う必要があります。
-
STEP03
歯の色調検査
歯の色の検査を受けます。現在の歯の色を記録し、治療後の変化を確認するための基準とします。
-
STEP04
歯面清掃
歯科医師または歯科衛生士が前処置として機械的歯面清掃を行います。歯の表面の汚れや着色を除去することで、ホワイトニング効果を最大限に引き出します。
-
STEP05
歯型採取
歯列に適合したカスタムトレーを作製するために、歯型を取ります。患者様一人ひとりの歯に合わせたオーダーメイドのマウスピースを作製します。
-
STEP06
マウスピース完成・試着
完成したカスタムトレーを受け取り、カスタムトレーの試着を行い、カスタムトレーの具合を確認します。フィット感や違和感がないかチェックします。
-
STEP07
使用方法の説明
歯科医師よりカスタムトレーへのジェルの付け方など、手順の詳しい説明を受けます。正しい使用方法を覚えることで、安全で効果的な治療を行うことができます。
使用する薬剤について
安全性の高い薬剤
ホームホワイトニングで使用する溶液は、10%程度の過酸化尿素を含有しています。この溶液はオフィスホワイトニング用の溶液よりも刺激の弱い溶液ですので、あまり歯が凍みるようなことはありません。もし歯が凍みるような場合があれば、マウスピースをはずせば痛みはなくなります。
適切な保管方法
ホームホワイトニングジェルは冷蔵庫で保管してください。適切に保管することで、薬剤の効果を維持することができます。
ホームホワイトニングでの注意事項
効果の持続性について
一度白くなった歯は永久に白いままではありません。日常生活の中で、コーヒーや紅茶、ワインなどの着色性の強い飲み物や食べ物を摂取することで、徐々に色が戻ってきます。しかし、ホームホワイトニングは元の色調への後戻りが少ないため、効果が長続きしやすいのが特徴です。
定期的なメンテナンス
半年に1度は当クリニックで確認させてください。もし必要であれば、溶液だけを購入していただき、ご自分のマウスピースで1~2日行えば元の白い歯に戻ります。このように、簡単にメンテナンスを行うことができるのもホームホワイトニングの大きな利点です。
適応範囲について
ホームホワイトニングでは、人工の歯やかぶせた歯を白くすることはできません。天然歯のみが対象となります。詰め物や被せ物がある場合は、治療前に歯科医師にご相談ください。
治療中の生活上の注意
着色しやすい食品の制限
ホワイトニング期間中は、着色しやすい食品や飲み物の摂取を控えることをお勧めします。コーヒー、紅茶、赤ワイン、カレー、しょうゆなどの色の濃い食品は、治療効果を損なう可能性があります。
喫煙について
喫煙は歯の着色の大きな原因となります。ホワイトニング期間中はできるだけ喫煙を控えていただくか、本数を減らしていただくことをお勧めします。
期待できる効果
自然な白さの実現
ホームホワイトニングにより、自然で美しい白さを実現することができます。個人差はありますが、多くの方が治療前と比べて明らかな白さの変化を実感していただいています。
自信の回復
歯が白くなることで、笑顔に自信が持てるようになります。人前で話すことや写真を撮ることが楽しくなり、日常生活がより充実したものになるでしょう。
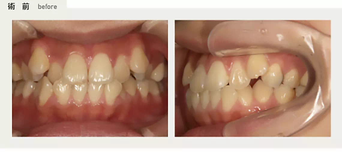
ホームホワホームホワイトニング症例



当クリニックのホームホワイトニング

当クリニックでは、患者様一人ひとりの歯の状態や生活スタイルに合わせた最適なホワイトニング治療を提供しています。経験豊富なスタッフが、安全で効果的な治療をサポートいたします。
歯の色でお悩みの方、白い歯に憧れている方は、ぜひ一度ご相談ください。理想的な白い歯を手に入れて、自信あふれる笑顔を取り戻しましょう。まずはお気軽にカウンセリングを受けていただき、あなたに最適な治療計画をご提案させていただきます。
